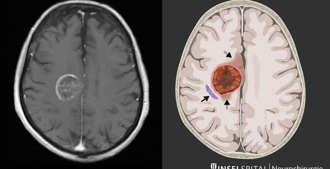
Des chercheurs de l’université du Michigan viennent de réaliser une importante découverte concernant le glioblastome, un cancer du cerveau aussi redouté que difficile à traiter.
Malgré les avancées de la chirurgie, de la radiothérapie et de la chimiothéraie, l’espérance de vie de ce cancer dépasse rarement deux ans après un diagnostic. Face à cette impasse, les scientifiques ont tenté une approche radicale : affamer la tumeur.
Dans un cerveau sain, les acides aminés servent de carburant pour assurer le bon fonctionnement des cellules. Mais chez les patients atteints de glioblastome, la tumeur détourne ces nutriments pour se multiplier. L’idée des chercheurs a donc été de priver la tumeur d’une partie de ces briques essentielles, afin de vérifier si sa croissance pouvait être freinée.
Les expériences ont été menées sur des souris atteintes de glioblastome, et les résultats ont dépassé les attentes. « Nous avons modifié l’alimentation dans les modèles murins et nous avons pu ralentir de manière significative et bloquer la croissance de ces tumeurs », a expliqué le Dr Daniel Wahl, oncologue à l’université du Michigan.
L’équipe s’est particulièrement concentrée sur deux acides aminés : la sérine et la glycine. Leur suppression a transformé la réponse des tumeurs aux traitements classiques. « Quand nous avons supprimé les acides aminés sérine et glycine chez les souris, leur réponse à la radiothérapie et à la chimiothérapie étaient meilleure et les tumeurs étaient plus petites que chez les souris témoins nourries avec de la sérine », a indiqué le Dr Deepak Nagrath, dans Science Daily. Cette stratégie, qui consiste à exploiter une faiblesse du métabolisme tumoral, pourrait bien marquer un tournant. En privant les cellules cancéreuses d’éléments essentiels à leur croissance,les chercheurs sont parvenus à les rendre plus vulnérables aux traitements existants. Une approche qui ouvre la voie à de nouvelles thérapies combinant régime alimentaire ciblé et protocoles médicaux.
Pour l’heure, cette découverte n’a été validée qu’en laboratoire mais l’équipe scientifique nourrit de grands espoirs/ »Nous pensons que cette vulnérabilité métabolique peur être exploitée et qu’elle pourrait changer la manière dont nous traitons ce cancer », ajoutent les chercheurs.
La prochaine étape est de vérifier su cette stratégie est applicable à l’humain. Des essais cliniques sont déjà envisagés afin de tester l’impact de régimes spécialement conçus pour réduire la sérine dans le sang. Si ces résultats se confirment, il s’agirait d’une avancée majeure dans la lutte contre l’un des cancers du cerveau les plus agressifs.
Hassina Amrouni
Sign in
Sign in
Recover your password.
A password will be e-mailed to you.
Glioblastome : « Un régime ciblé peut bloquer la croissance de la tumeur » selon des chercheurs américains
Article précédent
Santé publique : une convention entre l’INSP et la Société Algérienne d’Hématologie
Article suivant
Zona : diagnostiquer tôt, un enjeu que le système de santé sous-estime
Le diagnostic du Zona semble, en théorie, simple. En pratique, il arrive souvent trop tard.
Lorsque l’éruption…
Zona : ces signes que l’on confond… jusqu’à ce qu’il soit trop tard
Le Zona ne commence pas toujours par une éruption. Et c’est précisément ce qui le rend piégeux.
Dans de nombreux…
Coqueluche : la vaccination pendant la grossesse protège les nourrissons dès les…
Une étude publiée dans la revue scientifique The Lancet Microbe apporte un éclairage inédit sur la manière dont la…
Esseha TV
Esseha TV
By Esseha
1 /
50
-
1
M. Abdelkader Amraoui Directeur General Groupe Biocare
09:56
-
2
Pr Abdelbassat Ketfi, chef de service de pneumologue à l'hôpital de Rouiba
03:18
-
3
19 avril 2024
01:34
-
4
مداخلة وزير الصحة هذه الأمسية على هامش تدشين وحدتين جديدين،
07:25
-
5
Pr Samira Zoubiri, chef de service de dermatologie à l’hôpital Mustapha
03:45
-
6
Circoncision
07:06
-
7
Pr. Samir Ouali spécialiste ORL au CHU Mustapha, fait un focus sur le cancer du larynx.
03:48
-
8
Pr Mahdia Saidi parle du cancer du sang qui représente 2% de tous les cancers…
03:05
-
9
Pr Chems Eddine Chekman chef de service à la clinique Debussy nous parle du cancer de l'ovaire
06:14
-
10
Dr. Amina Mekerba aborde un type de cancer très peu connu du public : le cancer de la vulve
06:22
-
11
L'importance du dépistage et de la consultation médicale spécialisée dès l'apparition du moindre...
06:29
-
12
4 février 2024
06:00
-
13
Pr BITAM Idir, Spécialiste en Maladies Transmissibles et pathologies Tropicales
03:57
-
14
Dr. Hamida Moulay, médecin esthétique
01:38
-
15
Pr. Ammar Tebaibia - président de la Société algérienne d'obésité et des maladies métaboliques
02:09
-
16
Les laboratoires Biocare ont participé aux 14e journées chirurgico-médicales de la wilaya d'el Oued
01:52
-
17
Pr Kamel Mansouri, faculté de médecine d'Alger
03:25
-
18
Pr. Ryadh Mahyaoui, président de la SAARSIU
06:08
-
19
💙لقاء الصحة " تستضيف الدكتور عبدالقادر بلعيدي
08:09
-
20
Des informations précieuses pour les femmes ayant subi ou sur le point de subir une ablation du sein
07:20
-
21
Dr Fethi Terki, onco-urologue au CHU Mustapha
03:54
-
22
Pr Oucherif, l'éminent urologue Algérien dont le nom est lié à l'histoire de l'urologie Algérienne
08:09
-
23
الدكتورة لوصيف مريم، استاذة مساعدة مختصة في المسالك البولية
07:41
-
24
" لقاء الصحة " تستضيف الدكتور تيطراوي عبد المجيد أخصائي في جراحة الأطفال.
09:30
-
25
Pr Soreya Belarbi nous parle de la maladie d’Alzheimer.
03:31
-
26
مخابر "بوهنجر إنجلهايم" نظمت يوما تكوينيا حول التليف الرئوي المجهول الهوية
03:40
-
27
" لقاء الصحة " تستضيف البروفيسور إيدير بيطام أخصائي في الأمراض المعدية و الأمراض الاستوائية الناشئة
17:04
-
28
⭕️ البروفيسور سامية لعمش- تونسي أخصائية في علم التشريح المرضي وعلم الخلايا المرضية.
08:40
-
29
Pr Ammar Tebaibia, président de la Société algérienne d'obésité et des maladies métaboliques (SAOMM)
04:29
-
30
Dr Adlane Hallal, médecin interniste libéral à Alger
01:58
-
31
Pr Zahra Farah - Chef de service de maternité- gynécologie obstétrique au CHU Blida
02:31
-
32
Pr Rachid Malek - Chef de service de médecine interne - CHU Sétif
05:31
-
33
Dr. Faiza Ouahioune, Directrice Médicale Efficiacare/Biocare Groupe
00:57
-
34
البروفيسور عمار طبايبية يثير موضوع الالتهاب الكبدي الناجم عن الأمراض الغير فيروسية
03:29
-
35
Pr Djamel Louaham - Chirurgien Orthopédiste pédiatrique au CHU Lapeyronie - Montpellier
03:43
-
36
Pr Nouari DJEDDOU Spécialiste en médecine physique et de réadaptation MPR - ancien professeur agrégé
02:15
-
37
Pr Mustapha Yakoubi - Chef du service de chirurgie orthopédique et traumatologique à l'hôpital de Be
03:00
-
38
Pr Hocine Cherid, Chef de service de médecine physique et réadaptation fonctionnelle EHS Azur Plage
01:46
-
39
Dr Maamar Farsi Président de l’association des médecins physiques libéraux Algériens AMLA
01:43
-
40
Pr Rachid Bouras. Medecin spécialiste MPR et Traumatologie du sport
02:14
-
41
البروفيسور مرزاق غرناووط:الجزائر قادرة على القيام بالدراسات الإكلينيكية من المرحلة الرابعة
01:49
-
42
Pr Souhila Amalou, Chef d'unité Alzheimer au service de neurologie au CHU Frantz Fanon de Blida
03:42
-
43
Le Cancer du sein et ses facteurs de risques
05:56
-
44
Pr Reda Harrar nous donne un aperçu global des tumeurs osseuses
07:50
-
45
Le Pr Rachid Belhadj nous fait découvrir les avancées de la médecine légale en Algérie.
11:01
-
46
Pr Lila Mahfouf - Chef de service de neurochirurgie - hôpital Salim Zemirli
07:48
-
47
EMISSION FORT INTÉRESSANTE sur le cancer
15:47
-
48
الكوفيد والإنفلونزا الموسمية
14:26
-
49
La Thrombose veineuse profonde
04:57
-
50
Dr Amel Zertal. Maître assistante en maladies infectieuses à l’hôpital d’El Kettar
01:20
Caroube et grenade : deux extraits naturels pour renforcer les défenses de…
Une étude internationale ouvre la voie à une protection durable contre l’anthracnose, un fléau qui menace la…
